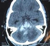
Pendarahan Dalam Otak
orang muda. 34 tahun. darah tinggi. anak 3 orang. paling kecil 2 tahun girl.
terkesan aku lihat mamat ni.
pupil fixed dilated Dr. sluggish. 6 mm bilaterally.
alamak. sudah.
macamana nak beritahu ni.
isteri menangis. luar red zone. bergenang air mata.
hati aku keras. macam batu. nampak suaminya terkujur. tiub di mulut. fuh. bergenang.
kalau lah dia check bp. check bp. start ubat sikit. amlodipine harganya sen sen jer. kot tak nak start perindopril.
yelah malas nak check darah.
sekarang.
Intubated. not sedated. gcs macam kayu. body macam kayu.
anak sulung tanya. abah ok?
pengajaran. buat aku.

Leave a comment