Severe MR

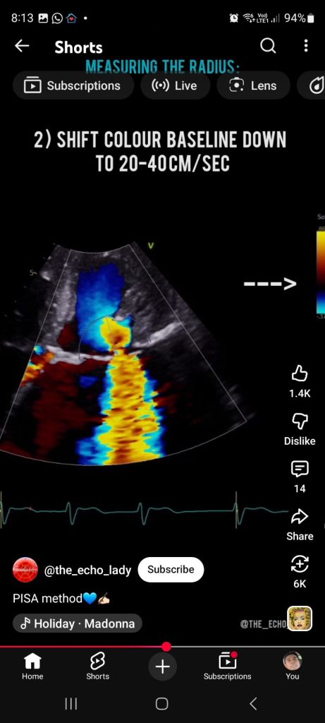
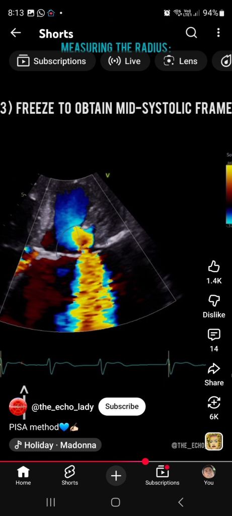
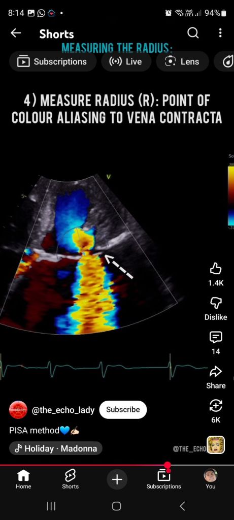
PISA radius comes from the Proximal Isovelocity Surface Area method used in echo to quantify valve regurgitation (especially Mitral regurgitation).
When blood leaks backward through a valve:
Flow accelerates toward the hole
It forms concentric hemispheric shells of equal velocity
These shells are what we call PISA.





Step by step.
Mesti lupa mende nih.
In echo (what you actually see)
On color Doppler:
Flow suddenly changes color (e.g. red → blue)
That sharp boundary = aliasing velocity line
If salah amik then EROA salah.

Below. Above jadi aliasing.


Cukup lah hari ni dulu.
Leave a comment